気づかないうちに進行しているかも...あなたのお口の感染症

気づかないうちに進行しているかも...
あなたのお口の感染症

お口の中に違和感を感じても、「まだ痛くないから大丈夫」「少し様子をみよう」と思っている方もいるのではないでしょうか。

歯肉炎から歯周病まで、自覚症状がないまま進行している場合が多く、ご自身では状態を判断しにくい特長があります。

放置すると歯を失ってしまう危険性があるため、少しでもお口に違和感を感じる方は一度検査してみませんか?

歯肉炎・歯周病の特徴

  • 歯肉炎

    歯肉炎Gingivitis

    歯茎の表面に炎症が起きた状態です。
    腫れや出血が見られることがありますが、痛みが少ないため気づきにくく、治療を後回しにしやすい特徴があります。

  • 歯周病

    歯周病Periodontitis

    歯肉炎が進行し、歯を支える骨(歯槽骨)にまで炎症が進んだ状態です。初期症状が少なく、違和感を覚えた頃にはすでに進行しているケースが多い特徴があります。

お口にトラブルが起こる前に歯科医院で検査してみませんか?

お口にトラブルが起こる前に
歯科医院で検査してみませんか?

当院では、お口の中の感染症の進行度を確認するため、口腔内写真やレントゲンを用いて検査・診断をおこなっています。

お口の感染症は気づかないうちに進んでいる場合が多いため、歯科医院で医師から診断を受けることをおすすめしています。

  1. 01Intraoral

    口腔内写真

    お口の中を撮影し、歯肉炎の症状となる、歯茎の炎症や腫れの状態を確認します。

  2. 02X-ray

    レントゲン撮影

    歯を支える骨(歯槽骨)の状態を確認し、歯周病の進行度を確認します。

ご予約・ご相談はこちら

ご予約は、お電話にて受け付けております。
ご相談も承っておりますので、お気軽に当院までご相談ください。
公式LINEでお知らせを配信しておりますので、友だち追加してご活用ください。

お口の病気が起こる要因は?

お口の病気は、噛み合わせや食いしばりなどから起こる「力学的要因」、お口の中に存在する細菌から起こる「細菌学的要因」の2つの要因が組み合わさることで起こります。

  • 力学的要因

    力学的要因Mechanical

    噛み合わせや食いしばりなどが起こることで、お口の中のバランスが崩れ、負担がかかりすぎている箇所から病気が進行してしまいます。
    お口の状況に合わせて、マウスピースや矯正などで治療します。

  • 細菌学的要因

    細菌学的要因Bacteriological

    お口の病気には細菌が関係しています。これまでは、間接的なアプローチしかできませんでしたが、ブルーラジカルが導入されることで、直接的なアプローチができるようになりました。

細菌に直接アプローチする
ブルーラジカル治療

ブルーラジカルとは?

ブルーラジカルとは?

ブルーラジカル治療は、歯茎を切らずに歯周病を治療する、非外科的治療法です。

厚生労働省から医療機器承認を受けた、世界初の非外科的歯周病治療器を使用し、3%の過酸化水素水に青色レーザーを照射して発生する「ラジカル(活性酸素)」の力で、歯周病の原因となる細菌を99.99%殺菌します。
※医療機器承認番号:30500BZX0016500

これまでの治療では、歯石やプラークを物理的に取り除くことでお口の中の細菌を減らしてきましたが、ブルーラジカルが導入されることで、目に見えない範囲まで直接的にアプローチできるようになりました。
※歯肉の中の除菌後、歯石や汚れが多い場合は再度スケーリングをおこなうことがあります。

  • 今までの治療

    今までの治療Until Now

    歯石やプラークを器具で物理的に除去する方法です。目に見える部分の汚れを取り除くことはできますが、細菌は肉眼で確認できないため、細菌の要因となる汚れを減らすことしかできませんでした。

  • ブルーラジカル

    ブルーラジカルAfter This

    青色レーザーを過酸化水素水に照射して発生するラジカル(活性酸素)の力で、目に見えない歯周病菌にまで直接アプローチできるようになりました。

ここが違う
ブルーラジカル 3つの特徴

酸化作用による殺菌

01

酸化作用による殺菌

3%の過酸化水素水を使用し、歯周ポケット内の細菌に酸化作用をもたらすことで、歯周病菌の殺菌をサポートします。
薬を用いて間接的に減らすのではなく、酸化作用を利用して直接的にアプローチできるため、抗生物質のように耐性菌を生み出すようなこともなく、化学的に殺菌することができます。

目に見えない細菌へアプローチ

02

目に見えない細菌へアプローチ

特殊な波長の405nm青色レーザーが過酸化水素水に作用し、殺菌成分「ヒドロキシルラジカル」を生成することで、目に見えない細菌へアプローチします。
これまでのように、歯茎を切開して汚れを取り除くことなく、目に見えない歯周ポケット奥深くの細菌にまでアプローチすることができます。

汚れの除去をサポート

03

汚れの除去をサポート

超音波振動で歯石や歯垢の除去を補助し、レーザーと過酸化水素水の作用を歯周ポケット全体に行き渡らせることで、隅々まで殺菌します。
歯周ポケット内の流体を動かすマイクロバブル作用により、汚れの浮上と殺菌力を高め、歯周ポケットの隅々まで清潔にします。

患者様への負担が少ない
ブルーラジカル 3つのメリット

  1. 歯茎を切開しない

    01Relief

    歯茎を切開しない

    ブルーラジカルでは、殺菌作用により細菌へアプローチするため、歯周病が進行していても、歯茎を切らずに殺菌や汚れの除去します。

  2. 痛みや腫れが少ない

    02Less Pain

    痛みや腫れが少ない

    外科処置が不要なため、治療中や治療後の痛み・腫れはほとんどありません。必要に応じて麻酔を使用するため、痛みに敏感な方も受けていただけます。

  3. 日常生活への負担が少ない

    03Mild

    日常生活への負担が少ない

    切開や縫合がないため、治療後すぐに食事や会話など日常生活に戻ることができます。仕事や予定への影響も心配する必要がありません。

ブルーラジカル 治療の流れ

  1. カウンセリング・検査

    Step01

    カウンセリング・検査

    レントゲンや歯周ポケット検査、位相差顕微鏡検査などをおこないます。
    ※再診の方は、前回治療後の経過チェックや簡易的な検査のみとなります。

  2. 治療計画のご説明

    Step02

    治療計画のご説明

    検査結果に基づき、患者様の口腔内の状態や歯周病の進行度をわかりやすくご説明します。治療方針や費用・期間の目安をご提案し、ご納得いただいたうえで治療計画を決定します。

  3. 前処置

    Step03

    前処置 必要な場合

    歯の表面の清掃や歯石除去をおこない、口腔内を整えてからブルーラジカル治療に入ります。

  4. ブルーラジカル治療

    Step04

    ブルーラジカル治療

    青色レーザーを過酸化水素水に照射し、歯周ポケット内の歯周病菌にアプローチします。1回1歯から7歯までの範囲で施術可能です。

    治療における注意事項 Precautions

    • 薬液に刺激

      過酸化水素を使用するため、苦みやピリピリ感を感じる場合があります。

    • 麻酔

      痛みに弱い方や状態によっては麻酔を使用します。

    • ダウンタイム

      施術後はダウンタイムの関係上、1週間治癒期間が必要になります。

  5. 定期検査・メンテナンス

    Step05

    定期検査・メンテナンス

    治療後も定期的なチェックをおこない、歯周病の再発防止と健康な歯周環境の維持をサポートします。

ご予約・ご相談はこちら

ご予約は、お電話にて受け付けております。
ご相談も承っておりますので、お気軽に当院までご相談ください。
公式LINEでお知らせを配信しておりますので、友だち追加してご活用ください。

ブルーラジカルを検討している方に
当院が選ばれる 3つの理由

歯科医師・衛生士による治療 歯科医師・衛生士による治療

01

Treatment歯科医師・衛生士による治療

治療は「歯科医師」、予防は「歯科衛生士」とイメージをお持ちの方もいるのではないでしょうか。
当院では、歯科医師だけでなく衛生士もブルーラジカル治療をおこなっています。実際の歯周病治療にも対応し、より専門的なケアで患者様の口腔環境を整えます。

細菌学的アプローチ 細菌学的アプローチ

02

Approach細菌学的アプローチ

お口のトラブルは細菌によって引き起こされることが多いため、ブルーラジカルを歯周病治療だけでなく、他の治療にも応用しています。
補綴物(かぶせ物・つめ物)の安定性のサポートや根管治療などに使用することができ、1本ずつ適用することができるため、様々な治療で使用しています。

患者様に寄り添ったカウンセリング 患者様に寄り添ったカウンセリング

03

Counseling患者様に寄り添ったカウンセリング

年齢やライフステージによってお口の状況は変化するため、現状の治療を考えるだけでなく、患者様に寄り添い、将来を考えたカウンセリングを大切にしています。
患者様のご希望に合わせて、総合的なアプローチをご提案いたしますので、お口のお悩みはお気軽にご相談ください。

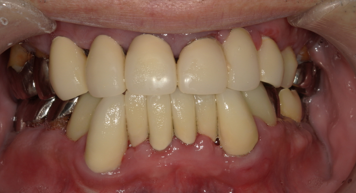
症例をご紹介

術前

術前Before

術後

術後after

治療内容 ブルーラジカル治療
治療期間・回数 1日・1回
※基礎治療の後におこないます。
費用 18,000円
リスク・副作用 薬液の刺激を感じる場合があります。
歯茎が一時的に白くなることがあります。

※費用は税込み表記です。

術前

術前Before

術後

術後after

治療内容 ブルーラジカル治療
治療期間・回数 1カ月・4回
※基礎治療の後におこないます。
費用 275,000円
リスク・副作用 薬液の刺激を感じる場合があります。
歯茎が一時的に白くなることがあります。

※費用は税込み表記です。

よくある質問

ブルーラジカルは痛いですか?

痛みを感じる場合には、状態に応じて局所麻酔をおこないながら治療を進めます。治療中の刺激を抑えられるよう配慮しています。
麻酔の効果が切れた後、数時間ほど違和感が残ることがあります。
また、歯周病ポケット内は炎症の影響で出血しやすい状態ですが、レーザーや過酸化水素を使用することで、出血量が比較的少なくなる場合があります。過酸化水素の作用により歯茎が一時的に白く見えることがありますが、多くは2~3日程度で落ち着きます。

治療時間はどれくらいですか?

1回の治療で対応できる本数は最大6本までとなります。前歯は1歯あたり約3分、臼歯は1歯あたり約5分を目安としており、治療時間は全体でおよそ30分程度です。

他の治療と併用できますか?

はい、可能です。症状やお口の状態によっては、従来の治療方法と組み合わせておこなうことがあります。
組み合わせることで、治療の進め方の幅が広がる場合があります。
当院では、患者様の状態を確認したうえで、治療内容を一緒に検討していきます。

費用について

ブルーラジカル治療は、1回の治療につき5歯までとなっております。

  • 1~2歯目 18,000円(1歯)

    3~5歯目 10,000円(1歯)

    ※1回の治療に対する費用となります。

  • 20歯以上 275,000円(合計)

    ※治療回数は4回以上となります。

料金については複雑となっております。事前にお問い合わせの上ご確認ください。

リスク・副作用について

  • 歯周組織を再生するものではなく、進行抑制を目的におこないます。
  • 効果が不十分な場合は追加処置が必要になる場合があります。
  • 薬液の刺激(苦み・ピリピリ感)を感じる場合があります。
  • 歯茎が一時的に白くなることがありますが、通常1日で元の色に戻ります。
  • 術後のセルフケア不足で再感染が起こる場合があります。

ご予約・ご相談はこちら

ご予約は、お電話にて受け付けております。
ご相談も承っておりますので、お気軽に当院までご相談ください。
公式LINEでお知らせを配信しておりますので、友だち追加してご活用ください。